Plot no : 214, Mythri Nagar, Madeenaguda, Telangana 500049

+91 8878385555

zenithclinics@gmail.com

Zenith Zenith
Menu
  • Home
  • About
    • About Us
    • About Doctor
    +
  • Services
    • Cardiology
      • ECG
      • 2D Echo
      +
    • Gastroenterology
      • Endoscopy
      • colonoscopy
      +
    • UltraSonography
      • Pregnacy Scans
        • Early Zenith Scan
        • NT Scan
        • NT Scan And Double Marker
        • TIFFA (Anomaly scan)
        • Growth Scan
        • 3D/4D Scan in Zenith
        • Growth and Doppler Scan
        • Reassurance or Wellbeing Scan
        • Presentation Scan
        +
      • Sonomammography
      • Soft Tissue Ultrasound
      • Carotid Doppler
      • Follicular Study
      • Thyroid & Neck Ultrasound
      • Transvaginal Ultrasound
      • Abdomen and pelivic scan
      +
    +
  • Patient Stories
  • Gallery
    • Photos
    • Awards
    • Videos
    +
  • Blog
  • Contact
  • Appointment

Blog Details

Home / Blogs / Adenomyosis: Understanding the Symptoms and When to Seek Help
Adenomyosis: Understanding the Symptoms and When to Seek Help
09 Mar

Adenomyosis: Understanding the Symptoms and When to Seek Help

By Zenith Clinic Health Tips

Many women experience painful or heavy periods at some point in their lives. However, when menstrual pain becomes severe, persistent, or disrupts daily life, it may indicate an underlying condition like adenomyosis.

What Is Adenomyosis?

Adenomyosis is a condition in which the inner lining of the uterus (endometrium) grows into the muscular wall of the uterus. This causes the uterus to enlarge and leads to painful and heavy menstrual cycles.

It most commonly affects women in their 30s and 40s, especially those who have had previous pregnancies.

Common Symptoms of Adenomyosis

You may be experiencing adenomyosis if you notice:

  • Painful menstrual cramps that worsen over time
  • Heavy menstrual bleeding (menorrhagia)
  • Irregular or abnormal menstruation
  • Chronic pelvic pain
  • Infertility issues
  • Enlarged or tender uterus

If these symptoms are affecting your quality of life, medical evaluation is important.

Why Does Adenomyosis Cause Heavy Bleeding and Pain?

When endometrial tissue grows into the uterine muscle, it responds to hormonal changes during each menstrual cycle. This leads to:

  • Increased inflammation
  • Thickened uterine walls
  • Stronger uterine contractions
  • Excessive bleeding

Over time, untreated adenomyosis can lead to anemia, fatigue, and emotional distress.

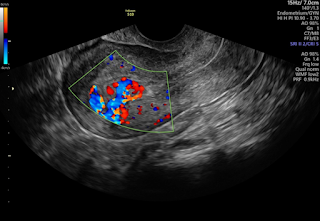
How Is Adenomyosis Diagnosed?

A pelvic ultrasound is one of the most effective and non-invasive methods to evaluate adenomyosis. It helps detect:

  • Thickened uterine walls
  • Enlarged uterus
  • Heterogeneous myometrium
  • Other associated conditions like fibroids

In some cases, additional imaging such as MRI may be recommended.

Treatment Options

Treatment depends on the severity of symptoms and whether pregnancy is desired. Options may include:

  • Pain management medications
  • Hormonal therapy
  • Intrauterine devices (IUDs)
  • Minimally invasive procedures
  • Surgery in severe cases

Early diagnosis allows better symptom control and improved quality of life.

Don’t Ignore Persistent Menstrual Pain

Severe cramps and heavy bleeding are not something you have to live with. A simple scan can provide answers and guide the right treatment.

Share this Article:
Facebook Twitter LinkedIn

Recent Articles

  • Common Myths About Ultrasound Scans: What You Should Know
    Common Myths About Ultrasound Scans: What You Should Know
    Mar 09, 2026
  • Trying to Conceive? Start with the Right Scan – The Role of 3D Pelvic Ultrasound
    Trying to Conceive? Start with the Right Scan – The Role of 3D Pelvic Ultrasound
    Mar 09, 2026
  • Breast Ultrasound: A Safe and Effective Tool for Early Breast Health Evaluation
    Breast Ultrasound: A Safe and Effective Tool for Early Breast Health Evaluation
    Mar 09, 2026
  • Thyroid Ultrasound: What It Reveals About Your Neck and Glands
    Thyroid Ultrasound: What It Reveals About Your Neck and Glands
    Mar 09, 2026
  • RPOC: Understanding Persistent Bleeding After Delivery or Miscarriage
    RPOC: Understanding Persistent Bleeding After Delivery or Miscarriage
    Mar 09, 2026

Categories

  • Prenatal Care (5)
  • Ultrasound Scans (3)
  • Women's Health (7)
  • Patient Stories (2)

ZENITH SPECIALITY CLINICS & 4D SCAN CENTRE We offer services in: Cardiology Consultations Gastroenterology Consultations Ultrasonography Scans Endoscopy Colonoscopy ECG Echocardiography..

ADDRESS AND TELEPHONE

  • Plot no : 214, Mythri Nagar, Madeenaguda, Telangana 500049
  • +91 8878385555
  • zenithclinics@gmail.com

MEMBERS OF

Copyright © 2023 Zenith Speciality Clinics| 4D Scan Center